Exostoza (Maladia Ombredanne) este o afecțiune osoasă de origine genetică ce se caracterizează prin creșterea unor formațiuni osoase (exostoze sau osteocondroame), prezente sub forma unor boseluri la nivelul extremităților oaselor lungi.
Alte denumiri ale acestei afecțiuni sunt: maladia Ombredanne, osteocondromatoza, osteocondromul multiplu ereditar, ostecondromul multiplu congenital, aclazia diafizară, condrodisplazia deformantă, discondroplazia, osteomatoza multiplă, boala osteogenică.
Epidemiologie exostoză (Maladia Ombredanne)
Prevalența în populația caucaziană este de 0,9-2 la 100.000 persoane, cu afectarea egală a ambelor genuri (unele studii arată o ușoară predominanță a genului masculin B:F= 1, 5:1) și afectarea mai frecventă a rasei albe. Severitatea este mai mare la bărbați decât la femei. Populațiile cu o prevalență crescută, de până la 1.300 la 100.000 persoane sunt cele din Chamorro (Guam) și Manitoba (Canada). Diagnosticul este pus cel mai frecvent în prima decadă de viață, 96% dintre persoane fiind diagnosticate între 2 și 12 ani.
Fiziopatologie exostoză (Maladia Ombredanne)
Exostoza (maladia Ombredanne) este o boală cu transmitere autosomal-dominantă (copiii persoanelor care au boala au un risc de 50% de a face boala) și.cu penetranță între 96 și 100% (însemnând că toate persoanele cu mutațiile genice corespunzătoare manifestă boala cel puțin într-o formă ușoară). Există două mutații principale, responsabile de apariția bolii în două treimi din cazuri, mutația genei EXT1 de pe cromozomul 8q24.1 (60% din cazuri) și mutația genei EXT2 de.pe cromozomul 11p13 (25% din cazuri). Mutația EXT1 asociată cu mutația genei TRPS1 cauzează sindromul Langer-Giedion, ce asociază de asemenea multiple exostoze. Există și mutații ale genei EXT3. 10% dintre pacienți au mutații de novo.
Exostoza este o boală genetică autozomal dominantă, ceea ce înseamnă că ea poate fi transmisă de la o generaţie la alta. O persoană afectată are un risc de 50% de a transmite boala copiilor săi, indiferent de sexul acestora. Este posibil ca un copil afectat să aibă ambii părinţi sănătoşi. În astfel de cazuri boala poate fi cauzată de.o mutaţie de novo (10% din bolnavi) sau în situaţia în care unul din părinţi prezintă o formă atenuată de boală, neidentificată în momentul diagnosticării copilului (este cunoscută expresivitatea variabilă a genei). Pentru a prezuma că în etiologia bolii intervine o mutaţie nouă, ambii părinţi vor fi examinaţi exhaustiv (examene radiologice sau chiar teste genetice dacă anomalia a fost diagnosticată la copil).
Fraţii şi surorile unui bolnav au la rândul lor un risc de 50% (1 din 2) de a fi afectaţi, dacă unul din părinţi prezintă boala. În schimb, dacă părinţii sunt sănătoşi şi mutaţia fratelui lor este de novo, aceştia vor fi exceptaţi de riscul de a prezenta boala.
Semne clinice exostoză (Maladia Ombredanne)
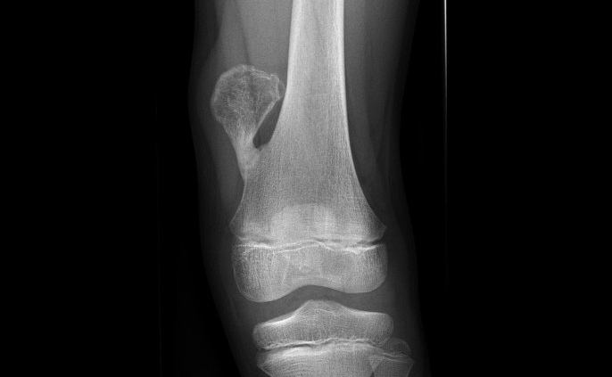
Exostoza apare de obicei în copilărie. Elementele care conduc la diagnosticul clinic al afecţiunii sunt variabile de la un copil la altul. Cel mai adesea se constată o excrescenţă osoasă dură, fixă, situată la nivelul extremităţilor oaselor lungi ale membrelor, la joncţiunea între corpul osului şi extremitatea sa (regiunea metafizară). Cartilajele de creştere ale oaselor lungi, care realizează creşterea în lungime a osului sunt localizate la nivelul acestor regiuni metafizare. Regiunile cele mai afectate sunt cele ale genunchilor, umerilor, gambelor şi pumnului. Coatele, coloana vertebrală, omoplaţii şi bazinul sunt mai rar afectate.
Numărul exostozelor variază amplu de la o persoană la alta şi chiar în cadrul aceleiaşi familii. Dimensiunile exostozelor cresc pe parcursul copilărie, rămânând apoi rămân relativ constante. Sunt posibile deformaţii ale membrelor, în special deformaţia antebraţului şi a pumnului, cu deviaţia spre exterior a mâinii, legată de.o răsucire a cubitusului sau deformaţia gambei (genu valgum). Pot apare şi deformări ale oaselor mâinii şi piciorului.
Această boală constituţională a osului se poate însoţi de creştere osoasă insuficientă, diminuarea mişcărilor articulare, talie mică, artroză precoce, compresiuni nervoase. Jumătate din copiii bolnavi vor fi diagnosticaţi înainte de vârsta de 3 ani şi restul înainte de 12 ani. Riscul de degenerescenţă canceroasă al acestor exostoze în osteocondrosarcoame creşte cu vârsta dar nu depăşeşte 1%.
Semne evidente exostoză (Maladia Ombredanne)
exostoza exostoze ombredanne
- talie mică;
- excrescenţă osoasă dură, fixă, situată la nivelul extremităţilor oaselor lungi ale membrelor, la joncţiunea între corpul osului şi extremitatea sa (regiunea metafizară);
- pot apare şi deformări ale oaselor mâinii şi piciorului;
- sunt posibile deformaţii ale membrelor, în special deformaţia antebraţului şi a pumnului, cu deviaţia spre exterior a mâinii, legată de o răsucire a cubitusului sau deformaţia gambei (genu valgum);
Localizare exostoză (Maladia Ombredanne)
Exostoza este situată in metafiza oaselor lungi.
Exostoza solitară, în peste 50% din cazuri, se localizează în extremitatea inferioară a femurului, superioară a tibiei și.a humerusului, dar uneori poate să apară și pe vertebre, sacru, clavicula, oasele mici ale mâinii și piciorului.
Exostoza multiplă are aceeași localizare, volumul și numărul leziunilor fiind variabile.
50% din ele se transmit autozomal dominant (se transmit la copii).
Diagnostic
Diagnosticul se stabileşte pe baza examenului clinic, completat de radiografii osoase care nu sunt utilizate decât pentru exostozele localizate în regiuni greu accesibile examenului clinic. Informativitatea tomografiilor sau a investigaţiilor RMN este redusă, la acestea recurgându-se doar în cazul localizărilor vertebrale.
Exostoza poate fi confirmată şi prin teste de genetică moleculară, care pot pune în evidenţă mutaţia, în proba de sânge a bolnavului dar acest teste nu sunt indispensabile diagnosticului.
Diagnostic paraclinic
Diagnosticul prenatal este posibil prin analiza celulelor fetale obținute prin amniocenteză în săptămânile 15-18 pentru identificarea mutațiilor genetice specifice.
Radiografia osoasă identifică leziunile caracteristice și diformitățile asociate.
Imagistica prin rezonanță magnetică permite măsurarea grosimii învelișului cartilaginos cu rol prognostic important pentru transformarea malignă. De asemenea, este utilă pentru identificarea compresiunii medulare de către osteocondroamele vertebrale.
Ultrasonografia este de asemenea utilă pentru măsurarea grosimii regiunii cartilaginoase care are aspect hipoecogen, pentru identificarea formării burselor, pentru evaluarea unui pseudoanevrism.
Computer tomografia este indicată pentru identificarea anomaliilor osteocondroamelor cu localizare la nivelul bazei craniului, coastelor și coloanei vertebrale.
PET-CT poate fi folosit pentru detectarea transformării maligne, dar captarea radionuclidului poate fi crescută și în formele benigne, active metabolic.
Scintigrafia osoasă nu poate diferenția osteocondromul de condrosarcom din cauza captării crescute de către ambele tipuri de leziuni. Indicația scintigrafiei este pentru identificarea osteocondroamelor active metabolic.
Diagnostic diferențial
Metacondromatoza se caracterizează prin prezența a multiple osteocondroame și encondroame cu localizare predominantă la nivelul mâinilor și picioarelor.
Maladia Trevor sau displazia epifizară hemimelică este o anomalie de dezvoltare ce se manifestă prin creșterea exagerată a cartilajului la nivelul epifizelor și afectează doar extremitatea inferioară.
Sindromul Langer-Gledion se caracterizează prin osteocondromatoză, statură mică, hipotonie, cutis laxa, macrocefalie și afectare intelectuală.
Fibrodisplazia osificantă prograsivă este o afecțiune ce produce osificarea țesuturilor moi ce determină invaliditate progresivă.
Hipofosfatemia ereditară – forma adultă se manifestă prin osteomalacie, fracturi de stres, dureri de șold, condrocalcinoză, osteoartropatie.
Diagnostic prenatal
Diagnosticul prenatal este tehnic posibil şi constă în evidenţierea mutaţiei genice fie în celulele trofoblastice (săptămâna 12 de sarcină), fie în celulele amniotice obţinute prin amniocenteză (săptămâna 16 de sarcină), dacă anomalia genică a fost pusă în evidenţă la părintele bolnav. Întrucât această boală este în general compatibilă cu o viaţă normală şi.nu antrenează deficit intelectual, diagnosticul prenatal este mai rar solicitat.
Clasificare exostoze
Clasificarea Taniguchi (1995):
- Grupul 1 – fără implicarea regiunii distale a antebrațului- mutația genei EX
- Grupul 2 – cu implicarea antebrațului distal, dar fără scurtarea radiusului sau ulnei- mutația genei EXT
- Grupul 3 – cu implicarea antebrațului distal, cu scurtarea radiusului sau ulnei- mutația genei EXT3
Clasificarea clinică:
- Clasa I – fără diformități și fără limitări funcționale; A- ≤5 localizări ale osteocondroamelor sau B- ˃5 localizări ale osteocondroamelor
- Clasa II – diformități prezente, fără limitări funcționale; A- ≤5 localizări ale diformităților sau B- ˃5 localizări ale diformităților
- Clasa III – diformități prezente, limitări funcționale prezente; A- limitarea funcțională a unei regiuni sau B- limitarea funcțională a mai mult de o regiune.
Evoluţie şi prognostic exostoze (Maladia Ombredanne)
În general evoluţia este lentă sau dimensiunile exostozelor rămân constante după pubertate. În cazul apariţiei deformaţiilor de membre, în special deformaţia antebraţului şi.a pumnului, ele pot antrena o accentuare a handicapului legat de funcţionalitatea lor. La adultul vârstnic se constată o frecvenţă mai mare a transformării maligne.
Exostoza este o afecțiune benignă și nu afectează speranța de viață în absența transformării maligne, care apare la 1-5% dintre pacienți. S-au raportat cazuri de regresie spontană a leziunilor în copilărie sau adolescență. Prognosticul în cazul transformării maligne depinde de precocitatea diagnosticului, gradul histologic, marginile de rezecție și locație. Supraviețuirea la 10 ani este de 83% în cazul condrosarcoamelor de grad I și 29% pentru cele de grad III.
Tratament exostoze (Maladia Ombredanne)
În lipsa manifestărilor clinice invalidante boala exostozantă nu pretinde un tratament special. În marea lor majoritate, bolnavii vor necesita, într-un anumit moment al vieţii, un tratament, care nu poate fi decât chirurgical. Numărul intervenţiilor chirurgicale de care un bolnav are nevoie pe parcursul vieţii sale variază de la o persoană la alta.
Tratamentul bolii exostozante constă în înlăturarea exostozelor foarte voluminoase, care determină dureri, limitări articulare, compresiuni nervoase sau vasculare sau deformaţii osoase masive. O urmărire atentă a persoanelor afectate permite stabilirea momentului optim al intervenţiei şi prevenirea unor complicaţii cum ar fi dislocaţiile articulare
Unul dintre cei mai importanți parametrii în tratamentul acestei afecțiuni, după aplicarea tratamentului ortopedic sau chirurgical, este reprezentat de recuperarea medicală (kinetoterapie).
Complicații exostoze
Pot apărea complicații nervoase ca urmare a compresiunii de către osteocondroame, cel mai frecvent la nivelul nervilor radial și peroneal.
Complicațiile vasculare sunt compresiunea vasculară, pseudoanevrisme, anevrisme, tromboze arteriale sau venoase ce.se manifestă prin claudicație intermitentă, ischemie acută, flebită. Cea mai frecventă localizare a pseudoanevrismelor este în spațiul popliteu.
Fracturile bazei osteocondroamelor sunt posibile în cazul celor pediculate, în urma unor traumatisme, cel mai frecvent la nivelul genunchiului.
Interferarea cu funcțiile articulare apare mai ales în cazul exostozelor sesile de dimensiuni mari de la nivelul pelvisului sau femurului proximal, afectând mobilitatea șoldului,
Bursita apare ca urmare fricțiunii mecanice repetitive între osteocondrom și țesuturile moi adiacente și apare cel mai frecvent la nivelul scapulei, șoldului și umărului.
Degenerarea malignă a osteocondroamelor (în condrosarcom) este posibilă (1-5% din adulți), astfel încât acestea trebuie urmărite regulat, iar creșterea în dimensiuni a acestora după atingerea maturității osoase trebuie să ridice suspiciunea de transformare sarcomatoasă. Excepțional transformarea malignă apare în copilărie, cel mai frecvent apărând între 20 și 50 ani. Învelișul cartilaginos cu grosime peste 2 cm este factor de prognostic negativ pentru transformarea malignă și poate fi urmărit prin ultrasonografie pentru leziunile superficiale și IRM pentru cele profunde. Osteocondroamele cu localizare la nivelul centurilor pelvină și scapulară au riscul cel mai crescut de transformare malignă.
Compresiunea medulară sau a rădăcinii nervilor spinali produce modificări senzitivo-motorii specifice regiunii afectate.
Alte complicații ale acestei afecțiuni sunt cauzate de prezența exostozelor vertebrale anterioare cervicale și sunt reprezentate de disfagia sau disfonia produse de compresiunea asupra esofagului sau laringelui. Pneumotoraxul spontan și pericardita pot fi produse de exostoze vertebrale anterioare toracale sau costale. Obstrucția intestinală sau urinară pot fi produse de exostoze vertebrale anterioare lombare sau sacrale. Complicațiile obstetricale pot fi cauzate de exostoze pelvine ce interferă cu nașterea naturală și impune nașterea prin cezariană.
Monitorizare exostoză (Maladia Ombredanne)
La copii, este recomandată evaluarea la fiecare 6 sau 12 luni din cauza creșterii active a leziunilor în această perioadă și posibilitatea intervenției precoce în cazul apariției complicațiilor.
La adulți, este recomandată evaluarea la fiecare 12 sau 24 luni și constă în special în diagnosticarea transformării maligne. Astfel, în cazul localizărilor cu risc mai crescut de transformare neoplazică, precum centurile pelvină și scapulară și șold, se evaluează la 12 luni, iar pentru celelalte localizări la 24 luni.



